鸡鸭鹅病防治网联合驰骋祥兽医研究所共同分享:
阿司匹林是经典的非甾体类抗炎药,从发现至今已沿用百年。在过去的三十年间,大量流行病学、临床试验、动物实验研究发现,长期使用阿司匹林能显著降低肿瘤发生率、延缓恶性肿瘤病程、减少肿瘤远端转移发生风险以及降低肿瘤死亡率,但其抗肿瘤作用机制仍不明确。
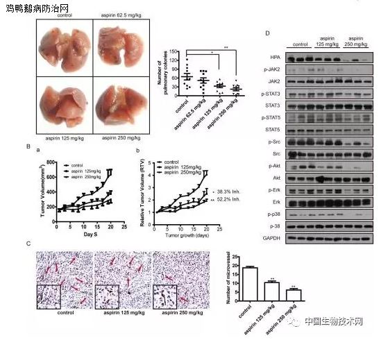
为剖析阿司匹林的抗肿瘤转移的作用靶点,中国科学院上海药物研究所研究人员从药物-蛋白质组学研究出发,首次发现乙酰肝素酶为阿司匹林潜在的抗肿瘤转移作用靶点。乙酰肝素酶是哺乳动物体内唯一能够识别HSPG多糖侧链-HS结构的内源性β-葡萄糖醛酸酯酶,与肿瘤的转移密切相关。研究表明,阿司匹林通过结合于调节乙酰肝素酶的酶活关键氨基酸Glu225位,抑制酶活功能,调控相关信号通路,从而抑制肿瘤的血管新生和转移。
该研究为全面认识阿司匹林抗肿瘤作用机制提供了新的理论基础。同时,考虑到目前处于研发前沿的乙酰肝素酶抑制剂均为肝素类似物,而相关的小分子抑制剂研发工作无突破性进展,该研究也为乙酰肝素酶小分子抑制剂的研发提供了新的方向。
研究成果于近日在线发表于Clinical Cancer Research。研究工作得到了中科院战略性先导科技专项、国家自然科学基金、山东海洋科学联合基金等有关项目的资助。
中国生物技术网诚邀生物领域科学家在我们的平台上,发表和介绍国内外原创的科研成果。
注:国内为原创研究成果或评论、综述,国际为在线发表一个月内的最新成果或综述,字数500字以上,并请提供至少一张图片。投稿者,请将文章发送至weixin@im.ac.cn。
发表评论共有0访客发表了评论
暂无评论,快来抢沙发吧!